News
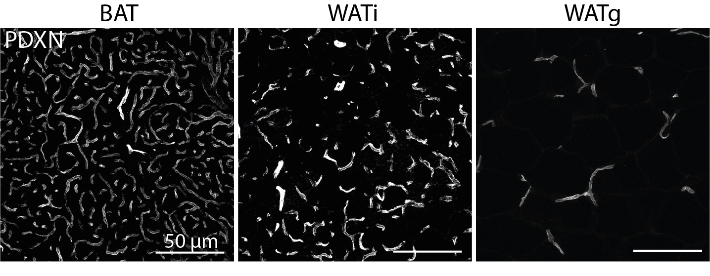
A new study published in the journal Molecular Metabolism provides fresh insight into the biology of blood vessels in brown fat and reveals how laboratory culture conditions can fundamentally alter the identity of these cells. Brown adipose tissue—commonly known as brown fat—plays an important role in the body’s metabolism. Unlike white fat, which stores energy, brown fat burns energy to generate heat and help regulate body temperature. To sustain this energy-intensive activity, brown fat is highly vascularized, meaning it contains a dense network of blood vessels. The cells lining these blood vessels, called endothelial cells, are increasingly recognized as key regulators of tissue function. However, studying endothelial cells from adipose tissue has been technically challenging, limiting our understanding of how they contribute to metabolic regulation. In the new study, researchers led by Kerstin Wilhelm-Jüngling developed a fast and efficient protocol to isolate endothelial cells directly from murine brown and white adipose tissue. This new approach allows scientists to obtain high-quality cells suitable for RNA and protein analyses, enabling detailed characterization of endothelial cells from different fat depots. Using transcriptomic analysis, the researchers discovered that endothelial cells in brown fat exhibit a distinct genetic signature that differs from those found in white fat. Among the genes enriched in brown fat endothelial cells were Rgcc (RGC-32), Cdkn1c (p57Kip2), Tcf15, Meox2, and Efnb1. Several of these markers were dynamically regulated when brown fat was activated by cold exposure, suggesting that endothelial cells participate in the physiological response that enables brown fat to generate heat. However, the team also observed a striking phenomenon when these cells were grown in conventional laboratory culture conditions. Brown fat endothelial cells rapidly lost their brown-fat-specific gene expression profile and instead adopted features resembling endothelial cells from white fat. Further analyses revealed that this transition was accompanied by gene signatures linked to cell proliferation, remodelling of cell adhesion, and endothelial-to-mesenchymal transition, processes often associated with cellular plasticity. These findings indicate that endothelial cells from brown fat possess a specialized identity in vivo, but this identity can quickly change under standard culture conditions. Understanding these shifts is essential for correctly interpreting experimental results. The study highlights both the remarkable flexibility of endothelial cells and the challenges researchers face when studying tissue-specific cell types outside their natural environment. By introducing a new method for isolating adipose endothelial cells and identifying previously unrecognized markers of brown fat vasculature, the work provides a valuable resource for researchers investigating metabolism, vascular biology, and adipose tissue function. The study, titled “From Brown to White: Brown Adipose Tissue Endothelial Cells Whiten in Culture Conditions,” is published open access in Molecular Metabolism. https://doi.org/10.1016/j.molmet.2026.102349
We congratulate Jana Sander on receiving the prestigious LE&RN Scholarship Award for her participation in the Lymphatics Gordon Research Seminar (GRS) and Gordon Research Conference (GRC) in Lucca, Italy in 2026. In addition, she was selected to give an oral presentation at the GRS, an honor reflecting the scientific excellence of her work. Her talk will focus on "Lymphatic Endothelial Cell Function Depends on SREBP-Mediated Cholesterol Metabolism". These distinctions highlight the international recognition of her research and represent a significant achievement.
We are delighted to announce that Tabea Elschner has been honoured with the Golden Pipette Award, recognizing the Best Scientific Talk at the Friday Immunology Seminar of the university hospital Bonn. The award highlights exceptional clarity, scientific rigor, and the ability to communicate complex ideas in a way that inspires peers and advances collective understanding. Tabea’s presentation stood out for its precision, thoughtful structure, and evident passion for scientific discovery. This achievement reflects her outstanding contribution to our scientific community and the high standards of excellence we strive for in our lab. Congratulations, Tabea!
We are pleased to announce the publication of our collaborative research article “Shiny-Calorie: A context-aware application for indirect calorimetry data analysis and visualization using R” in Bioinformatics Advances (Open Access). Developed jointly with our partners, the study introduces Shiny-Calorie, an interactive open-source application designed to integrate, analyze, and visualize indirect calorimetry data from a wide range of metabolic phenotyping platforms including TSE and Sable Systems. The tool enables standardized data handling, robust statistical analysis, and transparent visualization—facilitating reproducibility and comparability in pre-clinical metabolic research. This work was supported by the Collaborative Research Center (CRC) TRR 333 Brown and Beige Fat – Organ Crosstalk, Signaling and Energetics (BATenergy), funded by the Deutsche Forschungsgemeinschaft (DFG, German Research Foundation). Authors: Stephan Grein, Tabea Elschner, Ronja Kardinal, Johanna Bruder, Akim Strohmeyer, Karthikeyan Gunasekaran, Jennifer Witt, Hildigunnur Hermannsdóttir, Janina Behrens, Mueez U-Din, Jiangyan Yu, Gerhard Heldmaier, Renate Schreiber, Jan Rozman, Markus Heine, Ludger Scheja, Anna Worthmann, Joerg Heeren, Dagmar Wachten, Kerstin Wilhelm-Jüngling, Alexander Pfeifer, Jan Hasenauer, Martin Klingenspor Read the full article here: https://doi.org/10.1093/bioadv/vbaf270
On February 20, 2025, the Danish Diabetes and Endocrine Academy presented an interdisciplinary symposium that brings together leading scientists in the fields of vascular biology, obesity research, and metabolic diseases. This meeting took place in Aarhus, Denmark. Prof. Dr. Kerstin Wilhelm-Jüngling from the University of Bonn was invited as a speaker and presented her latest research findings on the role of endothelial cells in thermogenic adipose tissue. In her talk, "Modification of FOXO1 levels in endothelial cells - a tool to study the role of endothelial cells in thermogenic adipose tissue," she introduced innovative insights into signaling pathways that influence energy metabolism and may pave the way for new therapeutic approaches to obesity and metabolic disorders. Beyond her lecture, Prof. Wilhelm-Jüngling took the opportunity to network intensively with leading researchers from across Europe. Particularly exciting were discussions on new methodological approaches in endothelial research and their application to metabolic diseases. Exchanges with international colleagues such as Prof. Jörg Heeren (UKE Hamburg) and Prof. Kirsty Spalding (Karolinska Institutet) provided valuable inspiration for future research collaborations. The Vascular-Adipose Link Meeting 2025 was organized by the Danish Diabetes and Endocrinology Academy (DDEA) and the Danish Cardiovascular Academy (DCA) and was held in the inspiring setting of the ARoS Art Museum in Aarhus. With high-profile presentations and dynamic discussions, the event made a significant contribution to advancing the understanding of the interplay between vascular and adipose tissue in health and disease.
Our team played a key role in the development of Shiny-Calorie, with our PhD student Tabea Elschner as second author and a major contributor to the implementation and scientific design of the application. The tool provides an open-source, user-friendly solution for integrating, analyzing, and visualizing metabolic phenotyping data from platforms such as TSE and Sable Systems. It supports standardized workflows, robust statistical analysis, and intuitive exploration of complex datasets – streamlining research in preclinical energy metabolism. This work was supported by the Collaborative Research Center (CRC) TRR 333 Brown and Beige Fat – Organ Crosstalk, Signaling and Energetics (BATenergy), funded by the Deutsche Forschungsgemeinschaft (DFG, German Research Foundation). https://www.biorxiv.org/content/10.1101/2025.04.24.648116v1
Medical student Johanna Steinke has been awarded the prestigious SciMed Doctoral Scholarship from the BONFOR program. This funding enables her to dedicate an entire year to her experimental doctoral research in the research group of Prof. Kerstin Wilhelm Jüngling at the University of Bonn. The SciMed program aims to encourage medical students to pursue research-oriented doctoral theses and provides them with the opportunity to immerse themselves in scientific work. A key requirement for recipients is to take a leave semester to fully commit to their research. In her doctoral project, Johanna Steinke is investigating the role of taurine and the taurine transporter TauT in the context of obesity. Obesity is a global health issue that significantly contributes to metabolic disorders such as type 2 diabetes and cardiovascular diseases. Taurine, a sulfur-containing amino acid, plays a crucial role in energy metabolism and may have therapeutic potential in obesity treatment. She aims to determine how the taurine transporter influences fat tissue function, inflammatory processes, and overall metabolism. The SciMed doctoral scholarship allows Johanna Steinke to apply state-of-the-art scientific methods to explore these questions. This funding highlights the importance of experimental dissertations in medicine and underscores the growing relevance of translational research. The scholarship provides an excellent opportunity to engage deeply in biomedical research and explore new therapeutic approaches for obesity. Through the SciMed program, BONFOR seeks to inspire more medical students to engage in experimental research, thereby strengthening the link between clinical practice and basic science.
Prof. Kerstin Wilhelm-Jüngling, a distinguished member of the TRR333 (BATenergy) research consortium, has successfully completed the Female Leadership Training. The workshop, conducted by the renowned company hfp consulting (https://hfp-consulting.com), is part of a broader effort funded by the German Research Foundation (DFG) to prepare and empower women in scientific leadership roles. The workshop was organized by the TRR333 (https://www.trr333.uni-bonn.de) and is part of TRR333’s broader agenda to promote diversity and foster inclusive leadership within the scientific community. Both days of the workshop were aimed at enhancing the leadership capabilities of female professionals in science and academia. Through hands-on training, participants develop critical management, communication, and team-building skills necessary to navigate and excel in their careers. Further, participants – including Prof. Wilhelm-Jüngling - were equipped with tools and strategies to thrive in leadership roles and contribute more effectively to their organizations. Prof. Wilhelm-Jüngling’s participation in this workshop underscores her commitment to both her academic field and to advancing the role of women in leadership positions. Her involvement not only contributes to the success of the TRR333 (BATenergy) project but also serves as a testament to the growing emphasis on cultivating female leadership in STEM fields.
We are delighted to announce that Prof. Kerstin Wilhelm-Jüngling has successfully entered the second phase of her Tenure-Track Professorship, marking a significant milestone in her academic career. This achievement reflects her outstanding commitment to research, teaching and scientific leadership. Prof. Wilhelm-Jüngling, known for her groundbreaking reseach in lymphatic and vascular biology, has made substantial contributions to the field. In her current research she exploits her expertise of angioscience and studies how the endothelium interacts with adipocytes in brown and white fat. Thus, she tackles diseases such as obesity, lipedema and lymphedema. We congratulate Prof. Wilhelm-Jüngling and look forward to her continued success. Copyright Foto: © Universität Bonn/Bernadett Yehdou
Great honor for Prof. Kerstin Wilhelm-Jüngling. Her poster was awarded the top poster award at the recent GRC Lymphatics 2024 in Ventura, California. Her work “FOXO1 determines growth and maturation of lymphatic vessels” was selected by distinguished reviewers as having the potential to make an important contribution to the burgeoning field of lymphatics. With this she was able to stand up to 120 other scientists who presented posters. Congratulations on this achievement. The award was kindly sponsored by the Lymphatic Education & Research Network (LE&RN).























