Ultraschalldiagnostik (Sonographie)
Medizinisch indizierter Ultraschall oder Sonographie ist eine das Ungeborene und die Schwangere nicht belastende Untersuchungstechnik, die auch in vielen anderen medizinischen Fachbereichen eingesetzt wird. Vor der Untersuchung wird ein Gel auf die Bauchdecke der Schwangeren gestrichen, über die dann der Schallkopf bewegt wird. Die vom Ultraschallgerät ausgesandten Schallwellen werden von einzelnen Strukturen (Kind, Fruchtwasser, Plazenta) unterschiedlich stark reflektiert und im Computer zu einem Schwarzweiß-Bild verarbeitet. Dieses ist dann, auch für die werdenden Eltern, auf dem Bildschirm zu erkennen. Der erfahrene Untersucher ist in der Lage, einzelne Organe und Strukturen des Kindes zu beurteilen.
Diese Untersuchung wird auch als Fehlbildungsdiagnostik bezeichnet. Eine räumliche Darstellung des Feten gelingt mittels 3D-/4D-Technologie. Weitere spezielle Ultraschallverfahren sind die Dopplersonographie und die fetale Echokardiographie. Die Ersttrimesterdiagnostik (Messung der Nackentransparenz) dient der Abschätzung des individuellen Risikos auf Chromosomenstörungen. Zusätzlich kann eine Abschätzung des Risikos auf Schwangerschaftsbluthochdruck (Präeklampsiescreening) vorgenommen werden. Sämtliche Befunde werden mit Ihnen ausführlich besprochen.


Mit der Ultraschalluntersuchung sind wir in der Lage, viele Entwicklungsstörungen, darunter auch eine Vielzahl von kindlichen Fehlbildungen und Erkrankungen auszuschließen bzw. zu erkennen. Beurteilt werden z.B. das Gesicht, der Kopf, die Wirbelsäule, die Bauchwand, die Extremitäten sowie einzelne kindliche Organe.
Eine unauffällige Ultraschalluntersuchung bestätigt mit einer sehr hohen Wahrscheinlichkeit eine normale Entwicklung der kindlichen Organe, schließt jedoch eine kindliche Entwicklungsstörung niemals mit Sicherheit aus.
Auch bei guter Gerätequalität, größter Sorgfalt und Erfahrung des Untersuchers kann nicht erwartet werden, dass zu jedem Zeitpunkt der Schwangerschaft alle Fehlbildungen und Veränderungen erkannt werden können, da sich manche Anomalien auch erst im Schwangerschaftsverlauf manifestieren. Die Beurteilbarkeit des ungeborenen Kindes kann durch ungünstige Untersuchungsbedingungen erschwert sein, z.B. infolge verminderter Fruchtwassermenge, ungünstiger Kindlage, zu früher oder zu später Schwangerschaftswoche, kräftiger mütterlicher Bauchdecken, Narben. Dementsprechend bleibt ein Restrisiko im Prozentbereich für das Vorliegen von Entwicklungsstörungen bestehen.
Wird eine Fehlbildung diagnostiziert, können entsprechende Beratungen mit Spezialisten (z.B. Kinderarzt, Kinderkardiologe, Humangenetiker, Psychologe) angeboten werden.
Informationsbogen: Weiterführender Ultraschall (Organdiagnostik)

Die heute verfügbare Ultraschalltechnologie ermöglicht bereits zu diesem frühen Zeitpunkt eine gezielte Untersuchung des Feten mit Beurteilung einzelner Strukturen und Überprüfung der zeitgerechten Schwangerschaftsentwicklung. In der vollendeten 12./13. Schwangerschaftswoche können ca. 55% - 65% der Fehlbildungen erkannt werden.
Ein wesentlicher Bestandteil dieser Untersuchung ist die Beurteilung der fetalen Nackentransparenz, einer bei jedem Feten vorhandenen Flüssigkeitsansammlung im Bereich des Nackens. Eine normale Nackentransparenz ist Ausdruck eines niedrigen Risikos bezüglich der schwerwiegendsten Chromosomenanomalien.
Auf der Basis dieser Untersuchung und unter Berücksichtigung des mütterlichen Alters sowie des Schwangerschaftsalters kann sofort computergestützt eine individuelle Risikoabschätzung und Beratung durchgeführt werden.
Das so ermittelte individuelle Risiko für eine fetale -Chromosomenstörung ist in den meisten Fällen auch bei Frauen, die älter als 35 Jahre sind, geringer als das Fehlgeburtsrisiko durch eine invasive Diagnostik und sollte deshalb vor jeder geplanten invasiven Diagnostik angeboten werden. Die Entdeckungsrate dieser Untersuchung liegt für die Trisomie 21 bei ca. 80% und kann durch die Kombination mit einem Serumscreening auf ca. 85-90% gesteigert werden.
Der Nachweis einer verdickten Nackentransparenz ist mit einem erhöhten Risiko für eine Chromosomenanomalie oder bestimmte Fehlbildungen (z.B. Herzfehler) verbunden. Eine verdickte Nackentransparenz ist nicht mit einer kindlichen Erkrankung gleichzusetzen, es besteht lediglich ein statistisch höheres Risiko als bei einer unauffälligen Nackentransparenz. Nach entsprechender Beratung kann dann ggf. eine Chromosomenanalyse (z.B. durch eine Chorionzottenbiopsie) durchgeführt werden.
Wichtig ist, dass diese frühe Ultraschalluntersuchung, insbesondere bei verdickter Nackentransparenz, immer durch eine Untersuchung in der 20.-22. Schwangerschaftswoche komplettiert werden sollte.
Informationsbogen: Ersttrimesterdiagnostik

Risikokalkulation
Beispiel 1, Risikokalkulation für Trisomie 21:
31 Jahre alte Schwangere, 12+5 Schwangerschaftswoche, normale Nackentransparenz (1,5 mm), das ermittelte Risiko ist deutlich geringer als das Altersrisiko der Schwangeren.
Beispiel 2, Risikokalkulation für Trisomie 21:
34 Jahre alte Schwangere, 12+6 Schwangerschaftswoche, erweiterte Nackentransparenz (3,3 mm), das ermittelte Risiko ist deutlich höher als das Altersrisiko der Schwangeren (Klick auf die Grafiken vergrößert das Bild)


Weitere Marker
Neben der Messung der fetalen Nackentransparenz gibt es eine Reihe weiterer Ultraschallmarker (Hinweiszeichen), die in die Risikoabschätzung bezüglich fetaler Chromosomenstörungen einbezogen werden können.
Hierzu zählt zum einen die Beurteilung des fetalen Nasenbeins (Darstellbarkeit). Bei bis zu 70% der Feten mit einem Down-Syndrom, bei 50% der Feten mit Trisomie 18 und bei ca. 30% der Feten mit Trisomie 13 kann dieses im ersten Trimenon sonographisch nicht dargestellt werden.
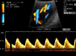
Beurteilt wird auch der Ductus venosus, eine fetale Gefäßverbindung zwischen der Nabelschnurvene und der unteren Hohlvene. Seine Blutflussmessung erlaubt die Abschätzung der fetalen Herzfunktion. Auffällige Flussmuster sind häufiger mit Chromosomenstörungen und Herzfehlern assoziiert, können zu diesem Zeitpunkt aber auch bei 3-4% aller gesunden Feten vorkommen.
Ergänzend kann die Trikuspidalklappe (Herzklappe zwischen rechtem Vorhof und rechter Herzkammer) untersucht werden. Der Nachweis einer Trikuspidalregurgitation, also einer Undichtigkeit der Trikuspidalklappe, ist wiederum mit einem erhöhten Risiko für Chromosomenstörungen und Herzfehlern verbunden, kann aber auch eine vorübergehende Normvariante darstellen.

Fet mit markiertem normalen Nasenbein und normaler NT

Fet ohne darstellbares Nasenbein (Pfeil) und mit verdickter NT Normales Blutflussmuster im Ductus venosus

Serumscreening
Das Ersttrimesterscreening als nicht-invasive Pränataldiagnostik setzt sich aus der Ausmessung der fetalen Nackentransparenz und dem Serumscreening (Bluttest) zusammen. Die Blutentnahme und die Messung der Nackentransparenz sollten am selben Tag erfolgen.
Das Serumscreening beinhaltet die Analyse zweier biochemischer Parameter des mütterlichen Blutes:
- PAPP-A, ein schwangerschaftsassoziiertes Bluteiweiss
- freies ß-HCG des Schwangerschaftshormons
Unter Berücksichtigung des Alters und Gewichtes der Schwangeren sowie der genauen Schwangerschaftswoche wird eine computergestützte Risikoabschätzung für bestimmte Chromosomenanomalien wie die Trisomie 21, 18 und 13 vorgenommen. Die Entdeckungsraten für diese Chromosomenstörungen liegen verglichen mit der Nackentransparenzmessung allein um 5-10% höher.
Auch dieser Test ist ein Suchtest (Wahrscheinlichkeitsrechnung), d.h. es sind sowohl "falsch positive" (der Fet ist nicht betroffen, aber das Ergebnis ist auffällig) als auch "falsch negative" (der Fet ist betroffen, aber das Ergebnis ist unauffällig) Ergebnisse möglich.

Untersuchung des fetalen Herzens (fetale Echokardiographie)
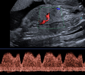
Bei einer solchen Untersuchung wird das Herz des Feten mittels hochauflösender Ultraschallgeräte im Detail untersucht. Ferner können mit Hilfe der Doppler-Sonographie die Blutflüsse im Herzen und in den angrenzenden Blutgefäßen dargestellt werden.
Relevante Verengungen und Störungen der Herzklappenfunktion können erkannt werden. In der überwiegenden Zahl der Fälle kann so eine kindliche Herzerkrankung ausgeschlossen werden.
Bei einigen wenigen Kindern wird dagegen bereits vorgeburtlich ein Herzfehler oder eine Herzerkrankung erkannt. Eine exakte Diagnose erlaubt eine frühzeitige Beratung mit Kinderkardiologen und Herzchirurgen, um eine optimale Betreuung des Kindes vor und nach Geburt zu gewährleisten. Häufig wird die Entbindung in solchen Fällen in Zentren mit entsprechenden Spezialisten geplant.
Wann wird die Untersuchung durchgeführt?
Prinzipiell kann man das fetale Herz jenseits der 12.-13. SSW untersuchen. Es können dann etwa 50-60 % der schweren Herzfehler erkannt werden. Allerdings ist zu diesem frühen Zeitpunkt die Zuverlässigkeit der Untersuchung wegen der geringen Größe des fetalen Herzens eingeschränkt, so daß meist zu einer nochmaligen Untersuchung geraten wird. Als günstigsten Untersuchungszeitpunkt wird die 20.-22. SSW empfohlen, in diesem Zeitraum können speziell ausgebildete Untersucher nahezu 80 % aller Herzfehler erkennen. Selbstverständlich kann diese Untersuchung bei Verdacht auf einen fetalen Herzfehler, einer Herzrhythmusstörung oder Nachweis einer anderen Entwicklungsstörung in jedem Schwangerschaftsalter erfolgen.

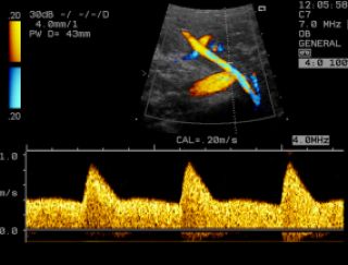
Mittels dieser Untersuchung werden Blutflußmuster in mütterlichen und kindlichen Blutgefäßen mit einer speziellen Ultraschalltechnik dargestellt.
Durch die Beurteilung der Blutflussmuster in den Gebärmutterarterien kann ein erhöhtes Risiko bezüglich einer Mangelversorgung des Feten (Plazentainsuffizienz) oder einer Präeklampsie (schwangerschaftsbedingter Bluthochdruck und Eiweißausscheidung im Urin) bereits zwischen der 20. -24. Schwangerschaftswoche erkannt werden. In diesem Fall kann eine intensivierte Überwachung der Schwangerschaft notwendig sein.

Gebärmutterarterie

Nabelschnurarterie

Durch die Messung der kindlichen Blutflüsse in Arterien und Venen kann die Versorgung des Feten beurteilt werden. Insbesondere bei einer kindlichen Mangelentwicklung kann durch diese Untersuchungsmethode eine effektive Überwachung des Kindes gewährleistet werden. Auffällige Blutflussmuster können Hinweise auf eine kindliche Gefährdung sein, die eine vorzeitige Entbindung nötig machen.

Wann wird die Untersuchung durchgeführt?
- in den Gefäßen der Gebärmutter zur Abschätzung des Risikos einer kindlichen Mangelversorgung und/ oder Präeklampsie jenseits der 20. SSW
- als Kontrolluntersuchung in der 28.-30. SSW bei allen Schwangeren mit erhöhtem Risiko für die Entwicklung einer Präeklampsie oder kindlichen Mangelentwicklung
- in den kindlichen Gefäßen ab der 14. SSW
- individuell in Abhängigkeit vom Ausmaß der kindlichen Mangelversorgung bei Risikoschwangeren
Terminvergabe
Sprechstunden:
Montag bis Donnerstag: 8:00 - 16:00 Uhr
Freitag: 8:00 - 14:00 Uhr
Tel.: +49 228 287-37100
Fax: +49 228 287-37131
Enable JavaScript to view protected content.
Anfahrt & Parken
Haus 30 (ELKI, neben der alten Frauenklinik Haus 31) EG,
große Eingangshalle ("Aquarium") vor den Aufzügen links.


















