Diagnostische Untersuchungen
Was macht die Ärztin/der Arzt, um die Diagnose einer rheumatologischen Erkrankung zu stellen?
Vielfältige Erscheinungsformen
Rheumatologische Erkrankungen sind entzündliche Erkrankungen des Bewegungsapparates, des Bindegewebes (Kollagenosen) und der Blutgefäße (Vaskulitiden) sowie weitere seltene entzündliche Erkrankungen des Immunsystems (Immundefekte) und z. B. autoinflammatorische Syndrome (Fiebersyndrome).
Arthritis
Bei einer Arthritis verursacht das Immunsystem eine Entzündung in verschiedenen Gelenken. Die häufigsten Krankheitsbilder sind die rheumatoide Arthritis und die Psoriasis Arthritis.
Der Rheumatologe muss versuchen, bei den bestehenden Beschwerden gleichzeitig eine Entzündung im Körper nachzuweisen. Dazu benutzt er unterschiedliche Diagnosebausteine:
Die ärztliche Befragung (Anamnese)
Die körperliche Untersuchung
Die Blutuntersuchung
Bildgebende Untersuchungen wie Ultraschall, Röntgen, Magnetresonanztomografie oder die Computertomografie
In der körperlichen Untersuchung achtet die Ärztin/der Arzt auf die typischen Entzündungszeichen wie Rötungen, Überwärmung und Schwellungen an den Gelenken.
Im Blut werden die Entzündungsproteine wie das C-reaktive Protein bestimmt, aber auch nach bestimmten Antikörpern Ausschau gehalten. Wenn die Ärztin/der Arzt sich bis dahin nicht sicher ist, wird er bei Ihnen auch weitere Untersuchungen anordnen, diese sind im folgenden Text aufgeführt.
Ohne den Nachweis einer Entzündung in den oben genannten Systemen ist es in der Regel nicht möglich, die Diagnose einer rheumatologischen Erkrankung zu stellen. Dann gilt es, in anderen nicht entzündlichen Krankheitsrichtungen zu suchen (z. B. Arthrose, Schmerzsyndrom u. a.).
Bedeutung des Ultraschalls (Sonographie)
Der hochauflösende Ultraschall des Bewegungsapparates erbringt in unmittelbarer Ergänzung zur klinischen Untersuchung zusätzliche diagnostische Informationen und erleichtert therapeutische Maßnahmen. Als unbelastende und schnelle Untersuchung bietet sich diese Technik insbesondere für die bildgebende Diagnostik der Gelenke, der Weichteilgewebe sowie der Gefäße an.
Die Untersuchungen und Interventionen werden durch langjährig erfahrene Ärzt*innen der Rheumatologie durchgeführt oder supervidiert. Der Ultraschall ist nicht nur in der Diagnostik ein anerkanntes und validiertes Werkzeug, sondern eignet sich auch zum Monitoring einer therapeutischen Maßnahme (z. B. Abnahme des Synovitis-Scores bei der Rheumatoiden Arthritis unter Behandlung). Einen sehr großen Stellenwert hat der Ultraschall bei der gezielten Punktion oder Infiltration (Gelenkspritze) unter Sicht.
Häufige Indikationen für die Diagnostik und für Interventionen
- Gelenkentzündung (Arthritis)
- Arthrose (Abnützung der Gelenke)
- Schleimbeutelentzündungen (Bursitis)
- Sehnenansatzentzündungen (Enthesiopathie, Enthesitis)
- Ganglien (z. B. genaue Lokalisation und atraumatische Punktion)
- Kristallerkrankungen (Gicht, Chondrokalzinose)
- Gefäße (z. B. Riesenzellarteriitis, Takayasu Arteriitis)
- Ultraschallgesteuerte Gelenkspunktionen und Infiltrationen
- Ultraschallgesteuerte Wirbelsäuleninjektionen (z. B. Sakroiliakalgelenk)
- Weichteile (z. B. Raumforderungen, Muskeln)
Gelenkultraschallbild einer Handgelenksarthritis, einer entzündlichen Gelenkerkrankung bei einer rheumatoiden Arthritis. In Rot dargestellt sehen Sie die vermehrte Durchblutung (Hyperperfusion) der Synovia (Gelenkhaut):

Ultraschall Bild einer Riesenzellarteriitis der Arteria temporalis (Schläfenarterie), die heute mittels Ultraschall diagnostiziert werden kann. Auf eine Biopsie zur Diagnosesicherung kann mittlerweile verzichtet werden:

Bei der Diagnose einer rheumatologischen Erkrankung ist die Röntgen Untersuchung als bildgebendes Verfahren ein wichtiger Bestandteil. Mit einer Röntgenuntersuchung können bereits vorhandene Gelenkzerstörungen sichtbar gemacht werden.
Bei den häufigsten entzündlich rheumatischen Erkrankungen, der rheumatoiden Arthritis, der Psoriasis Arthritis und auch bei der Spondyloarthritis, ist es weiterhin für die Diagnosestellung und vor allem für die Verlaufsbeurteilung unentbehrlich.
Die zuletzt 2010 gemeinsam von der amerikanischen Rheumagesellschaft und der europäischen Liga gegen Rheumatismus neu formulierten Klassifikationskriterien für die rheumatoide Arthritis werten nur den typischen Befund im konventionellen Röntgenbild als Diagnose sichernd. Bei den Diagnosekriterien für die Psoriasis Arthritis spielt nur der Befund im Röntgenbild eine wichtige Rolle.
Bei der Diagnosestellung von polyartikulären entzündlich rheumatischen Erkrankungen gibt es häufig schon sehr früh im Krankheitsverlauf im Röntgenbild sichtbare typische Veränderungen.
Röntgenbild einer 76-jährigen Patientin mit rheumatoider Arthritis und fortgeschrittenen Gelenkveränderungen, wie wir sie heute aufgrund der modernen Therapien nur noch selten sehen:

Die MRT Untersuchung eignet sich besonders, um Entzündungen der Weichteile, in unserem Fall im Speziellen von Gelenksentzündungen, zu erfassen. Da die Untersuchung auf der Entstehung von Magnetfeldern und Radiowellen basiert, gibt es nach aktueller Wissenschaft keine Nebenwirkungen, insbesondere keine Strahlenbelastung
Es gibt jedoch Patient*innen, bei denen diese Untersuchung beispielsweise aufgrund von Implantaten wie Herzschrittmachern, künstlichen Hüftgelenken o.Ä. nicht durchgeführt werden kann.
Wie wird die Untersuchung durchgeführt?
Die Patient*in liegt auf einer Liege, die dann mit dem betroffenen Körperteil, das untersucht werden soll, unter einen Bogen geschoben wird.
Die Untersuchung ist völlig schmerzfrei. Aufgrund lauter Klopfgeräusche wird der Patient*in ein Hörschutz aufgesetzt.
Die Dauer der Untersuchung beträgt im Durchschnitt bis zu 30 Minuten.
Bei welchen Erkrankungen sollte eine MRT-Untersuchung durchgeführt werden?
Zur differenzierten Darstellung von betroffenen Körperteilen, in unserem Fall häufig der Gelenke, können Entzündungen, die sich mittels Ultraschalls nicht eindeutig darstellen lassen, durch Auffälligkeiten in Weichteilgeweben sowie Knorpel dargestellt werden.
Auch nutzen wir dieses bildgebende Verfahren, um bei Gefäßentzündungen, wie den Vaskulitiden, einzelne Entzündungsherde der Gefäße zu identifizieren.
Ggf. besteht bei manchen Fragestellungen noch die Notwendigkeit einer Kontrastmittelgabe über die Vene, sodass noch genauere Darstellungen von Strukturen erfolgen können.
Magnetresonanz-Angiographie einer Patientin mir einer Takayasu Arteriits, einer Gefäßentzündung, an der vor allem junge Frauen unter dem 40. Lebensjahr leiden.
Man sieht die multiplen Gefäßabbrüche und Stenosen (Engstellen) großer Gefäße wie der Art. brachialis sowie der Art. carotis.

Durch kleinste Schnittbilder können bei der CT-Untersuchung durch Röntgenstrahlen innere Organe sowie knöcherne Strukturen oder auch Gefäße des ganzen Körpers dreidimensional bildlich dargestellt werden. Es handelt sich um ein nicht-invasives, bildgebendes Verfahren, wodurch krankhafte Veränderungen detailgenau abgebildet werden können. Häufig findet diese Diagnostik in Ergänzung zu einer Röntgen-Untersuchung statt.
Wie wird die Untersuchung durchgeführt?
Bei der CT Untersuchung wird die Patient*in eine „Röhre“ geschoben. Somit findet die Untersuchung grundsätzlich im Liegen statt. Kontinuierlich dreht sich dabei die „Röhre“ um die Patient*innen.
Bei gewissen Fragestellungen kann die Untersuchung auch mittels Kontrastmittel erfolgen. Hierzu wird der Patient*in vor der Untersuchung nach Aufklärung in die Vene eine Flüssigkeit gespritzt, sodass sich gewisse Details besser darstellen lassen.
Bei der CT Untersuchung handelt sich um eine sehr kurze Untersuchung von wenigen Sekunden bis Minuten.
Bei einer bestehenden Schwangerschaft sollte auf diese Diagnostikmethode weitestgehend verzichtet werden.
Bei welchen Erkrankungen sollte eine CT - Untersuchung durchgeführt werden?
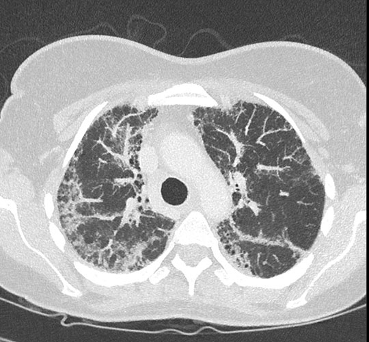
Insbesondere zur Klärung von Knochen- oder Lungengerüstveränderungen findet diese Methode in der Rheumatologie häufig Anwendung.
Hinsichtlich der Beurteilung von Auffälligkeiten an Weichteilgeweben wird eine MRT-Untersuchung der CT-Untersuchung vorgezogen.
Eine interstitielle Lungenerkrankung bei rheumatoider Arthritis mit deutlich entzündlicher Verdichtung des Lungengewebes:

Die sogenannte Dual-Energy-Computertomographie (DECT) untersucht eine Körperregion mit verschiedenen Strahlen. Hierdurch kann durch die Identifizierung spannungsspezifischer Unterschiede im Absorptionsverhalten des untersuchten Areals eine Untergruppierung stattfinden.
So kann beispielsweise in der Rheumatologie die Diagnose einer Gichtarthritis bzw. CPPD (Pseudogicht) gestellt sowie deren Ausdehnung und Verlauf beurteilt werden.
Wie wird die Untersuchung durchgeführt?
Es handelt sich um eine nichtinvasive Methode mit dem Einsatz zweier Multischicht-CTs (Zwei-Röhren-System). Diese rotieren in wenigen Sekunden gleichzeitig um doe liegenden Patient*innen.
Bei welchen Erkrankungen sollte eine DECT-Untersuchung durchgeführt werden?
Bei dem Verdacht auf eine Gicht-Arthritis ermöglicht die DECT-Untersuchung eine zuverlässige Aussage hinsichtlich des Schweregrades der Erkrankung sowie eine Beurteilung des Verlaufs.
Eine Gicht Patient*in mit ausgeprägter Harnsäure-Ablagerung im Bereich des Vorfußes und Fußballens im Dual-Energy-CT:

Wie wird die Untersuchung durchgeführt?
Anhand schwacher Röntgenstrahlen und deren Abschwächung bei Auftreffen auf Knochen kann ein Rückschluss gezogen werden, ob die Knochendichte einem altersentsprechenden Zustand entspricht oder von diesem abweicht. Somit kann eine Aussage getroffen werden, ob ein Knochenschwund (Osteoporose) oder eine leichte Verminderung der Knochenmasse (Osteopenie) vorliegt und demensprechende Therapie notwendig sind.
Bei welchen Erkrankungen sollte eine Knochendichtemessung durchgeführt werden?
Insbesondere bei Patient*innen mit chronisch-entzündlichen Erkrankungen besteht aufgrund der Grunderkrankung ein erhöhtes Risiko des Knochenabbaus. Zudem kommt es bei langjähriger Kortison-Einnahme, fortschreitendem Alter und insbesondere bei Frauen in der Menopause zu einem vermehrten Knochenabbau. Laut DVO sollte eine Knochendichtemessung mittels DXA Teil der Basisdiagnostik bei erhöhtem Osteoporose- und Frakturrisiko,sowie prinzipieller Bereitschaft zur Therapie sein.
Die Kapillarmikroskopie kann Hinweise auf Durchblutungsstörungen geben, die bei rheumatologischen Erkrankungen, insbesondere bei Kollagenosen, vorkommen.
Zudem kann durch diese Untersuchung ein primäres Raynaud-Syndrom, das häufig bei jungen Frauen auftritt und keine rheumatologische Behandlung notwendig macht, von einem sekundären Raynaud-Syndrom, das auf manifesten rheumatologischen Erkrankungen basiert, unterschieden werden.
Wie wird die Untersuchung durchgeführt?
Die Methode ist völlig schmerzfrei und nicht invasiv. Die kleinsten Blutgefäße (Kapillaren) liegen am Nagelbett dicht unter der Oberfläche und werden, um sie besser sichtbar zu machen, mit hochreinem Öl benetzt.
Mittels moderner Videokapillarmikroskopie untersucht man die Durchblutung und Beschaffenheit der Kapillaren und zählt, vermisst und beurteilt sie gemäß ihrer Form.
Bei welchen Erkrankungen sollte eine Kapillarmikroskopie durchgeführt werden?
Eine typische Indikation für eine Mikroskopie der Kapillaren ist die Abklärung eines Raynaud-Syndroms (Weiss-, Blau-, Rotwerden der Finger bei Kälteexposition oder Nervosität). Außerdem wird diese Untersuchung in der Frühdiagnostik bei bestehendem Verdacht auf eine manifeste rheumatologische Erkrankung, insbesondere der Kollagenosen, angewendet.
















